Archeologia

mumia w ciazy

Pierwsza znana egipska mumia ciężarnej kobiety znajduje się w Warszawie

Pierwsza rozpoznana na świecie egipska mumia ciężarnej kobiety znajduje się w Muzeum Narodowym w Warszawie. Długo sądzono, że pod zwojami bandaży kryje… Czytaj więcej

plod mumii

Płód w mumii egipskiej zachowany dzięki nietypowemu procesowi rozkładu

Płód znajdujący się w zmumifikowanej Egipcjance sprzed ponad dwóch tysięcy lat przetrwał do naszych czasów za sprawą bardzo nietypowego procesu rozkładu.… Czytaj więcej

mumia dziecka z peru

Dzieci złożone w ofierze przez Inków były odurzane

O tym, że dzieci składane w ofierze przez Inków 500 lat temu na szczytach wulkanów były odurzane z pomocą liści koki i substancji halucynogennych świadczą… Czytaj więcej

badania mumi

W mumii Egipcjanki należącej do UW odkryto przypuszczalne ślady po nowotworze

Duże ubytki w częściach kości twarzoczaszki mumii Egipcjanki żyjącej ponad 2 tys. lat temu mogą świadczyć o tym, że cierpiała na raka nosogardzieli… Czytaj więcej

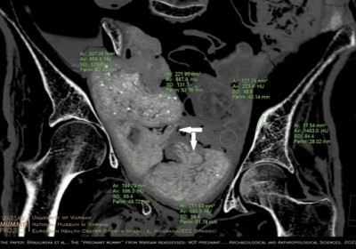
warszawska mumia

Mumia egipska z Warszawy nie była w ciąży - w jej miednicy znajdują się... pakunki

Nie płód, ale kilka zawiniątek znajduje się w miednicy mumii kobiety prezentowanej w Muzeum Narodowym w Warszawie - dowodzi zespół naukowców. W jednym… Czytaj więcej

wystawa badanie mumii

Wystawa w Muzeum Śląskim o badaniach mumii egipskich

Wystawę archeologiczną nt. współczesnych możliwości nieinwazyjnych badań mumii egipskich przygotowano w Muzeum Śląskim w Katowicach. Wystawa koncentruje… Czytaj więcej

mumia ze złotym jezykiem

Mumie ze złotymi językami

W Egipcie archeolodzy pracujący na stanowisku-nekropolii Quweisna  (Quesna) w środkowej delcie Nilu odkryli mumie ze złotymi językami.

Teren,… Czytaj więcej

mumia z peru

Odkrycie mumii otoczonej liśćmi koki w Peru

Ciekawego odkrycia dokonali archeolodzy w Peru. Na terenie dawnej świątyni zwanej przez miejscowych „huaca”, oznaczającym wyrocznię lub święte miejsce,… Czytaj więcej

odkrycia w peru Fot R Dziubińska

Odkrycie polskich archeologów w Peru

Zmumifikowane pochówki 22 osób, głównie małych dzieci i noworodków, odnalazł polsko-peruwiański zespół naukowców miejscowości Barranca w Peru - poinformował… Czytaj więcej